Orthopädische Praxis dr. med. Ludger Feldhues
Knorpelschutz / Arthrose-Therapie
Arthrose ist eine langsam fortschreitende Abnutzungserscheinung des Gelenkknorpels und der angrenzenden Knochenstruktur. Die Gelenkarthrose ist eine sehr belastende Erkrankung. Für viele Menschen bedeutet dies langanhaltende Schmerzen und eingeschränkte Bewegungsfreiheit.
Eine fortschreitende Arthrose führt zur Zerstörung des Gelenkknorpels und auch die Beschaffenheit der das Gelenk umgebenden Gelenkflüssigkeit verschlechtert sich zunehmend. Dadurch wird das Gelenk nicht mehr ausreichend geschützt. Nach und nach entstehen arthrosetypische Schmerzen, die erst nur unter Belastung und später dann auch im Ruhezustand auftreten.
Bei den verschiedenen Formen des Gelenkverschleißes mit Knorpel-Schädigung kann durch die Behandlung mit Knorpelschutz-Injektionen in vielen Fällen die Gelenkfunktion und der Gelenkstoffwechsel verbessert werden.
Die Knorpelschutz-Injektionen in das betroffene Gelenk wirken als Schmier- u. Gleitmittel und unterstützen so die biologische Funktion des Knorpels. Die Gelenke können so schmerzärmer oder bei weniger fortgeschrittenen Athroseerkrankungen sogar wieder schmerzfrei bewegt werden.

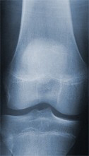
Röntgenaufnahme eines gesunden Kniegelenkes
Der Gelenkspalt entspricht einem gesunden Knie ohne Abnutzungserscheinungen des Gelenkknorpels.

Röntgenaufnahme eines Kniegelenkes mit Arthroseerkrankung
Hier ist der Gelenkspalt auf der Innenseite des Gelenkes aufgebraucht, es ist kein schützender Knorpelbelag mehr vorhanden.
